眼看十分钟的车程就能到家家长没有宝宝放在安全座椅上谁知遇到车祸奶奶怀里1岁的小孙子右侧大腿股骨骨折看到躺在病床上双腿正在做牵引的孩子奶奶既心疼又后悔
上周日下午,周婆婆一家人带着1岁的小孙子到家附近公园玩耍,一家人玩到下午6点多才准备回家。当时小孙子在奶奶周婆婆怀里睡着了,上车时害怕吵醒宝宝,又考虑到公园离家里只有不到10分钟的车程,周婆婆便没有让宝宝坐在安全座椅上,而是抱着坐在后排。
眼看快到家了,在经过一个路口时,孩子爸爸在减速掉头时,被后方车辆突然追尾,怀里的小孙子跟着奶奶一起往前一倾,顿时嚎啕大哭,怎么哄都停不下来,尤其是不让人碰他的腿。
“当时就感觉孩子不太对劲。”周婆婆说。随后,家长便把孩子带到武汉市第四医院检查。
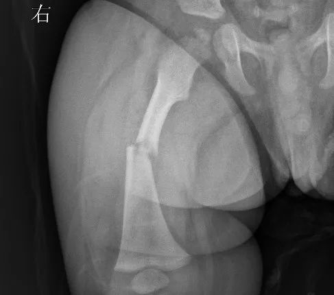
接诊的急诊骨科医生张明仔细检查孩子的双腿结合拍片结果诊断,右侧大腿股骨骨折。随即转到小儿骨科病区。由于孩子太小无法手术,只能先进行至少三周的牵引复位,再打石膏做进一步治疗。

“如果宝宝当时坐在安全座椅上,而不是被大人抱在怀里,也许能避免这次意外。”由于刹车时,孩子下半身相对固定,而上半身由于惯性会向前倾,这时孩子的身体便会从大人环抱处发生反折,导致骨折。如果将孩子固定在安全座椅上,便不会受伤。
医生 · 说
开车带孩子,使用儿童安全座椅很重要。该院小儿骨科主任李凡介绍,部分家长认为安全座椅用安全带束缚住孩子,很不舒服,或者担心孩子哭闹。“路程不长,抱着就好,碰到意外还能护着。” 殊不知,把孩子抱在怀里才是最危险的。因为人在碰到突发情况时,强大的冲击力很可能会让孩子从家长怀中冲出。

有的家庭没有安装儿童安全座椅,或是安装以后也不让孩子坐,一直抱在手上。可孩子的骨骼本来就脆弱,一旦发生车祸,单纯的冲击伤就能造成多发骨折,比如肋骨骨折、气胸等。
李凡主任提醒,家有幼童的家长,务必购买合规的安全座椅,并仔细阅读制造商提供的使用说明书,严格遵照其要求安装和使用。只有正确使用了安全座椅,才能有效降低孩子特别是幼儿在车辆碰撞中的伤害。
世界卫生组织的数据显示,全球每年有18.63万儿童死于道路的交通伤害,其中超过1/3是死于乘车过程中。而当轿车相互碰撞时,儿童安全座椅能使婴儿的死亡率降低71%,幼儿的死亡率降低54%—80%。
前向碰撞或紧急刹车时,安全座椅能够有效阻止儿童身体向前极速运动,避免二次碰撞。
侧向碰撞时,靠背侧翼和头枕侧翼能够有效地保护儿童的躯干和头部;后向碰撞时,靠背和头枕能承托住儿童的躯干和头部,避免儿童颈部损伤;
侧翻时,儿童安全座椅在正确使用的情况下只有少许位移;儿童睡觉时,座椅侧翼能够保证儿童身体不会歪斜,以免碰撞时受到伤害。

目前,在全国范围内还没有立法强制使用安全座椅,但上海、山东等一些地区,已经在地方性法规中要求,携带四周岁以下儿童乘车出行时应当配备并正确使用儿童安全座椅。
另外,《健康中国行动(2019—2030年)》中强调“重视道路交通安全,正确使用安全带,根据儿童年龄、身高和体重合理使用安全座椅,减少交通事故的发生”;
《国家残疾预防行动计划(2016-2020年)》专门提及“推广使用汽车儿童安全座椅”;
《关于印发机动车驾驶培训教学与考试大纲的通知》将“养成使用儿童安全座椅的习惯”“掌握儿童安全座椅的作用”纳入科目一考试中;
《儿童道路交通伤害干预技术指南》提出要“通过立法强制使用儿童安全座椅”等。
来源:武汉市第四医院
长江云编辑:袁佳
暂无评论,快来抢沙发~