

张杰在微博中称自己被鱼刺横卡住食道,连夜在胃镜麻醉下做了鱼骨摘除,还晒出被取出的鱼骨照片,提醒大家吃鱼要多注意。

图源:微博@张杰
张杰为我们演示了最科学的处理方法,就是第一时间上医院挂急诊,大部分情况下,耳鼻喉科的医生几分钟就可以完成摘除。
如果就医不及时,后果可能非常可怕
武汉大学人民医院此前有一个病例。现在想起来依旧是:惊心动魄!
人民医院
10个科室,30多位专家
齐齐上阵
从鬼门关把他拉了回来
强吞一根鱼刺
刺穿主动脉
这个病例讲的是林先生吃鱼时,感觉有鱼刺卡在喉咙,他当即按照土办法,强吞了两口饭,强行咽下了鱼刺。

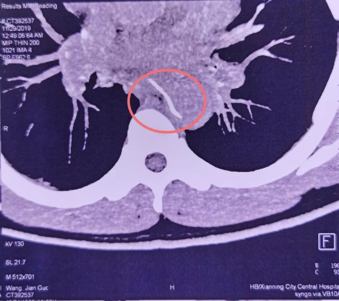
没想到过了两天,他突然感到剧烈胸痛。CTA检查发现,一根鱼刺样的异物卡在了食管内,且已刺穿食管壁,一头扎进了胸主动脉。

胸主动脉是人体最粗大的动脉血管
血管压力很高
一旦形成破口
出血将呈喷射状
犹如“大坝决堤”一般
根本没有抢救的机会

由于林先生的病情十分棘手,当地医院建议他尽快转往武汉治疗。因病情极度凶险,林先生被武汉数家医院婉拒。
后来林先生来到了武汉大学人民医院急诊科就诊。检查发现,鱼刺像一把圆月弯刀,横插在食管和胸主动脉附近。如果盲目拔出,必定会形成主动脉破口,发生大出血。
医生当即决定将患者转入重症医学科密切监护,稳定其生命体征,同时第一时间呼叫全院大会诊。
10个科室专家
联手闯关取鱼刺
在医疗部组织下,医院胸外科、心血管外科、耳鼻喉-头颈外科、消化内科、介入科、放射科、麻醉科等紧急大会诊。
专家团讨论认为,必须马上将鱼刺取出。如果鱼刺留在体内继续感染恶化的话,林先生将失去最后的救治机会。
经过详细讨论,专家团确定了微创取刺手术方案:先由心血管外科专家为林先生植入主动脉支架堵住血管缺口,再由消化内科专家尝试进行消化内镜下微创取刺。
在麻醉医师保驾护航下,心血管外科团队顺利将主动脉支架植入林先生体内,将已经开始糜烂的血管缺口堵牢。随后,消化内科团队开始尝试进行消化内镜下取刺。

但让人没想到的是
内镜反复探查
术前本已定位精确的鱼刺
却找不到了!
手术台上,专家团队立即紧急探讨,判断很有可能是术前随着食道的蠕动,或是主动脉内血流的强劲冲击,这根鱼刺已经穿出食管进入胸腔甚至主动脉了。
此时已经没有微创取刺的可能了,必须尽快开胸探查将鱼刺取出。
手术方案立即调整。胸外科团队接力上台,从右侧开胸探查胸腔,小心翼翼松解胸腔粘连、清理干净分泌物后,发现鱼刺果然是穿出了食管,几乎整个扎进了主动脉内,仅在外露出3毫米的刺尖。

用血管钳小心翼翼拔出这根4厘米长的鱼刺后,纵然见多识广的手术团队也惊呼罕见,甚至误以为是塑料牙签。这么长、这么尖的鱼刺,人怎么能吞下去?
顺利拔除鱼刺、清除不定时炸弹后,医生们立即对食管和主动脉进行了修补。术后,林先生病情稳定,转入重症医学科接受进一步的治疗。
鱼刺卡喉
切勿强吞
鱼刺卡住后盲目处理、导致刺穿食道乃至主动脉后极端凶险。就在林先生手术当天,该院胸外科又成功救治了一例鱼刺卡喉处理不当,导致食管穿孔、纵隔脓肿的患者。
提醒大家
鱼刺卡喉真的是一件很危险的事
千万不要不当回事儿
你以为卡在喉咙里的鱼刺会这样

但事实很有可能是这样

甚至是这样

所以谨记
饿不吃鱼
(无刺鱼除外)
一旦不幸被鱼刺卡住
千万不要随意自行处理
切记!这些土方法全是错误的!
1. 喝醋
长期浸泡老陈醋的确可以软化鱼刺,但在“卡鱼刺”时,醋不仅无法浸泡到鱼刺,浓度太高太酸的醋还会损伤食管与胃黏膜,加重局部的损伤。
2. 吞饭团馒头
还记得上面的动图吗?“卡鱼刺”后大口吞咽饭团等固体食物是很危险的,可能会把尖锐的鱼刺钉入食管壁,甚至越挤越深,有的还有可能引发大出血、感染等严重后果。
“卡鱼刺”时该如何正确处理呢?
01
立即停止进食、饮水。
02
咳嗽。虽然咳嗽的气流冲击力比较小,但有些卡在喉咙的鱼刺也会被气流带出。
03
呕吐。呕吐有时可以带出鱼刺,但人工催吐、反复剧烈呕吐极易损伤黏膜、加重疼痛。对于已经卡入食管的鱼刺,呕吐基本无效。
04
尽早寻求医生帮助。无论是鱼刺还是其他异物,立即就医、及时取出异物是最好的办法。
总之,最稳妥、最科学的方法就是第一时间上医院。前期卡住的话,耳鼻喉科医生、消化内镜医生基本上分分钟能搞定。否则,可能就是几十块和几十万的区别,或者是生与死的区别!所以,张杰的做法是非常正确的,应该让更多人知道。
来源:三甲传真、武汉大学人民医院、中国医学论坛报、健康湖北
湖北广电大健康发展中心图文编辑:杜若希
暂无评论,快来抢沙发~